구내염은 흔히 입병라고 하는 질환으로 입 내부 점막에 염증이 발생한 것을 으미합니다. 주로 면역력이 떨어지거나 피곤할 때 많이 생기는데요. 이번 글에서는 구내염 원인 및 구내염 빨리 낫는법 구내염 전염성 여부에 대해 알아보겠습니다.
목차

구내염 원인


구내염은 면력력이 떨어질 때 생기는 것으로 알려져 있으나, 구내염 원인을 정확하게 알고 치료해야 회복 기간이 빨라집니다. 일반적인 구내염 원인은 다음과 같습니다.
바이러스 감염
단순 포진 바이러스(헤르페스 파이러스,HSV)와 같은 특정 바이러스는 구내염을 일으킬 수 있습니다. 헤르페스 바이러스 관련 구내염은 일반적으로 입 주위에 구순포진이나 발열 물집의 형태로 나타납니다.
세균 감염
연쇄상구균이나 포도상구균에 의한 세균 감염은 구내염을 유발할 수 있습니다. 이러한 감염은 구강 위생 불량, 치과 치료 또는 면역 기능 저하로 인해 발생할 수 있습니다.
진균 감염
효모균의 일종인 칸디다 알비칸스(Candida albicans)는 혀, 볼 안쪽 또는 입천장에 크림색의 흰색 병변이 나타나는 구내염의 일종인 구강 아구창을 유발할 수 있습니다. 곰팡이 감염은 면역체계가 약화된 사람, 당뇨병이 있는 사람, 항생제나 코르티코스테로이드와 같은 특정 약물을 복용하는 사람에게 더 흔합니다.
자극물질
담배연기, 술, 매운 음식, 산성 음식, 거친 치아기구 등 자극물질에 노출되면 구강의 섬세한 점막을 자극하여 염증과 구내염을 유발할 수 있습니다.
알레르기
특정 음식, 구강 관리 제품(예: 치약, 구강 청결제), 약물 또는 치과용 재료에 대한 알레르기 반응은 취약한 개인에게 구내염을 유발할 수 있습니다.
자가면역 질환
루푸스, 크론병, 베체트병과 같은 자가면역 질환은 증상의 일부로 구내염을 유발할 수 있습니다. 자가면역성 구내염에서는 신체의 면역체계가 제대로 작동하지 못하고 구강 조직을 공격하여 염증과 궤양을 유발합니다.
영양 결핍
비타민 B12, 철, 엽산 또는 아연과 같은 필수 영양소의 결핍은 개인에게 구내염을 유발할 수 있습니다. 이러한 영양소는 구강 건강과 점막 완전성을 유지하는 데 중요한 역할을 합니다.
외상
화상, 베인 상처, 물림, 치아 부상 등 구강의 신체적 외상으로 인해 구내염이 발생할 수 있습니다. 외상성 구내염은 우발적인 부상, 치과 시술, 이 갈이와 같은 습관으로 인해 발생할 수 있습니다.
구내염 종류와 증상
구내염의 발생 원인과 나타나는 증상에 따라 다음과 같이 분류할 수 있습니다.
아프타성 구내염

가장 흔한 유형으로 작고 둥근 궤양이 입 안 점막, 혀, 잇몸 및 입천장에 발생합니다. 궤양의 주변에 붉고 염증이 나타나며 통증이 심합니다. 일반적으로 2주 안에 자연치유 되지만, 재발 가능성이 높습니다.
헤르페스성 구내염

헤르페스성 구내염은 헤르페스 바이러스 감염으로 인해 발생하며, 입술 주변에 물집이 생기는 특징을 갖고 있습니다. 물집이 터진 뒤에는 궤양이 형성되며 가려움증과 따가움 증상을 동반합니다. 헤르페스성 구내염은 2주 안에 자연적으로 치유됩니다.
미란성 구내염

미란성 구내염은 입 안 점막이 붉게 붓거나 벗겨지며 통증을 동반합니다. 다른 구내염과 같이 자연치유 가능하나 길게는 한 달 정도 치유 기간이 소요됩니다.
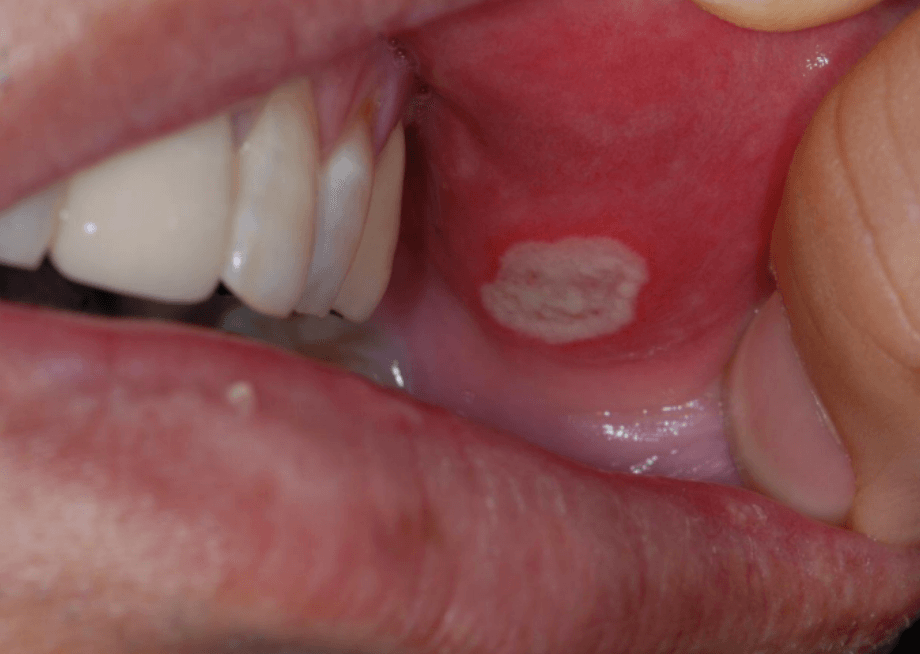
칸디다성 구내염

칸디다 균 감염으로 인해 발생하는 구내염으로 입 안의 점막, 혀와 입천장에 하얀 반점 또는 플라크가 발생합니다. 하얀 반점을 벗겨내면 밑에 붉은 점막이 나타나게 됩니다. 칸디다성 구내염은 항진균 치료를 해야 합니다.
베쳇 병
베쳇 병은 혈관 염증 질환으로 구강뿐만 아니라 눈 성기 등에 염증이 생기고, 발진이 오래가는 자가면역 질환 입니다. 입 안의 점막에 반복적인 궤양이 발생하며, 발열, 피로, 관절통 등의 다른 증상을 동반합니다.
크론 병
크론병은 장에 염증이 생기는 질환이지만, 구강에도 염증을 유발하여 구내염이 발생할 수 있습니다. 크론 병이 발생하는 경우 설사, 복통, 체중 감소 등의 증상이 나타납니다.
구내염 빨리 낫는법
구내염이 발생하게 되면 대부분 2주 안에 자연 치유 됩니다. 만약, 생활에 불편함이 있고 통증을 빨리 벗어나고 싶다면, 다음과 같은 구내염 빨리 낫는법을 통해 비교적 치유 기간을 단축해볼 수 있습니다.
먼저, 구내염이 발생한 우너인을 파악하는 것이 중요합니다. 영양이 부족하거나 면역력이 떨어졌다면, 비타민 B, 비타민 C, 철분 및 아연 등의 부족한 영양분을 보충하고, 음주나 흡연은 멈추는 것이 좋습니다.
통증이 심하다면, 이부로펜, 아세트아미노펜과 같은 진통제를 복용할 수 있으며, 냉찜질이나 차가운 물을 마셔 통증을 완화시키는 것도 좋은 방법입니다.
충분한 수분섭취와 휴식, 스트레스 관리로 자연치유 역량을 향상시면 구내염이 빨리 낫는데 도움이 됩니다. 하지만, 통증이 심하거나 2주가 지나도 구내염이 가라앉지 않는다면 병원(내과, 이비인후과, 구강내과)에 내원하여 의사의 진료를 받는 것이 좋습니다.
구내염 약으로도 잘 알려진 '알보칠' 역시 구내염 치료에 도움이 될 수 있습니다. 알보칠은 폴리크레줄렌을 주성분으로 하며, 항균, 항염증, 지혈작용을 갖고 있기 때문에 구내염 치료에도 사용할 수 있습니다.
또한, 가글을 통해 구강 내 세균을 제거하고 염증을 완화하여 구내염 치유를 촉진하는데 도움이 될 수 있습니다. 하지만, 가글을 너무 자주하게 되면 유익한 균도 모두 없어지기 때문에 하루 3회 이하로 해 주는 것이 좋습니다.
구내염 전염성
구내염 전염성 여부는 다음과 같이 종류에 따라 달라집니다.
1. 전염성이 있는 구내염
- 헤르페스성 구내염: 헤르페스 바이러스 감염으로 발생하며, 입술 주변에 물집이 생기고 가려움과 통증을 유발합니다. 바이러스가 포함된 물집이나 궤양의 액체를 통해 전염될 수 있습니다.
- 수족구병: 엔테로바이러스 감염으로 발생하며, 손, 발, 입 안에 수포가 생깁니다. 수포의 액체나 바이러스가 포함된 분비물을 통해 전염될 수 있습니다.
2. 전염성이 없는 구내염
- 아프타성 구내염: 가장 흔한 구내염이며, 혀, 잇몸, 입천장 등에 작고 둥근 궤양이 생깁니다. 전염성이 없습니다.
- 칸디다증: 칸디다균이라는 곰팡이 감염으로 발생하며, 입 안 점막에 백색 반점이나 궤양이 생깁니다. 면역력이 약한 경우 전염될 수 있습니다.
구내염 예방법
구내염이 자주 발생하다면, 평소 생활습관 개선을 통해 구내염 예방법을 적용하는 것을 추천 드립니다.
구내염 예방을 위해 양치를 할 때 불소가 함유된 치약을 사용하고, 치실과 치간칫솔을 사용해 구강 내 음식물이 남아있지 않도록 관리하는 것이 중요합니다. 그리고 정기적으로 구강 청결제로 가글을 해 주는 것이 좋습니다. 참고로, 구강 청결제를 사용할 때는 입이 건조해지지 않도록 알코올이 함유되지 않은 제품을 사용해야 합니다.
또한, 자극적이고 맵고 뜨거운 음식을 줄이고, 금주, 금연으로 구강 위생관리를 해 주는 것이 좋습니다. 이 외에도 물을 자주 마셔 충분한 수분 공급과 균형잡힌 식단으로 영양결핍이 발생하지 않도록 해야 구내염 예방에 도움이 됩니다.
위와 같이 구내염 원인과, 빨리 낫는법 및 구내염 전염성 여부에 대해 알아보았습니다. 도움이 되길 바랍니다.
이 포스팅은 의학적 진단이나 치료를 대체할 수 없는 참고자료이며, 건강 관련 문제에 대해서는 의사의 진료를 받으시길 바랍니다.
| 📝 도움되는 건강관련 인기글 |
|
1️⃣ 피크노제놀 효능과 부작용 알아보기
2️⃣ 눈 떨림이 오래 지속된다면 3️⃣ 도파민 중독 테스트 방법 |
🔽 더 많은 정보는 아래 목록 확인 🔽



